boraware active
AI CURATION
스마트한 골드만 AI에게
당신의 증상을 간단히 써주세요.
SINCE 2002, AI 스마트 의료의 중심
SINCE 2002, AI 스마트 의료의 중심
SINCE 2002, AI 스마트 의료의 중심
SINCE 2002, AI 스마트 의료의 중심








| 급성 신우신염 | 만성 신우신염 | |
|---|---|---|
| 증상 | 고열, 오한, 옆구리 통증, 복통, 배뇨통 | 요통, 피로감, 빈뇨 등 뚜렷하지 않은 증상 |
| 특징 | 여성에게 많고, 특히 30~50대에서 흔함 | 신장 이상 또는 급성 반복 환자에게 발생 |
| 합병증 위험 | 방치 시 패혈증, 만성 이행 가능 | 신부전, 고혈압 등 신장 기능 상실 위험 |



Check

Check

Check







Check

Check

Check
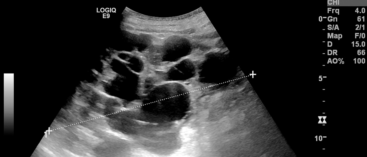
신우신염(신장 감염), 신장결석, 만성신부전, 신낭종 등이 주요 질환입니다.
요로 흐름이 막히거나 비정상이면 신장 기능이 저하되고 장기적으로 만성질환으로 이어질 수 있습니다.
충분한 수분 섭취, 감염 예방, 요로 이상 시 조기 검사, 정기적인 건강검진 등이 중요합니다.
발열이나 복통이 심하거나 탈수가 심한 경우, 또는 약물 복용 후에도 2~3일 내 효과가 없다면 입원이 필요합니다.
25년
200만건+
6천 건+
1만 건+
약 40% 집도
25년 임상경력
최첨단 AI 시스템